Total Smile Makeover—Paul Whelan

Paul’s Story

Imagine not being able to brush your teeth for more than five years. While this is certainly concerning, it stems from a much bigger problem—you’ve been wrongly imprisoned in Russia.

That’s exactly the situation Paul Whelan, a Novi native, found himself in.

How Did We Get Here?

Dentist showing dentistry patient dental implant model

A soft-spoken corporate security executive, he was detained while attending a friend’s wedding in Moscow in 2018, convicted in a sham trial shortly thereafter, and locked up in a prison built in the 1800s that likely hadn’t been updated since then. Fed a meager diet of bread, literal chicken feed, and tea with almost no access to water, he was woken up every two hours with a bright light as part of his interrogations. Stuck in a tiny cell with only a steel bed, he spent the majority of his days laboring and waiting to be released because everyone knew (including the Russians) that he was innocent.

His alleged crime? Espionage. The evidence? The fact that Paul had four passports, which might seem strange at a glance until you know more about his family. A naturalized American citizen born in Canada to British parents with grandparents from Ireland, his situation is certainly unique, but that doesn’t make him a spy. This was enough for Russian authorities to accuse and convict him, however, which most experts suspect was only done to gain political leverage in negotiations with the United States.

Coming Home

After almost six grueling years, Paul was finally brought home in a prisoner exchange. He received a lot of fanfare at first, but then…nothing. In the years he was gone, he had lost his house, his job, and his teeth were in terrible shape due to years of neglect, stress, and a poor diet.

Hearing about his story and ties to Novi, Dr. Geller took it upon himself to help Paul recover his smile as well as his confidence.

Rebuilding Paul’s Smile & Looking Ahead

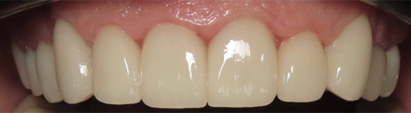
Under Dr. Geller’s guidance, Paul completed treatment on his upper arch, providing a strong foundation to build upon. The next step in his journey is focused on restoring balance to his bite and aligning his lower teeth with Angel Aligners, an approach designed not only to improve his appearance but also ensure lasting function and oral health.

Dr. Geller and the entire team at JMG Dentistry Family and Cosmetic Care are honored to play a role in this meaningful transformation and help Paul finally get back to normal. On this page, you can see where his journey began. Stay tuned—there’s much more to come as we share updates and progress from Paul’s evolving smile story in the weeks and months ahead…

Dentist showing dentistry patient dental implant model

Part 2: Taking the First Steps

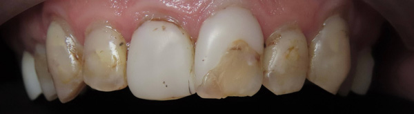
Needless to say, after more than five years of basically no dental care, a terrible diet, and an unfathomable amount of stress, Paul’s teeth needed a lot of work. He had developed significant decay, damage, and discoloration. This not only compromised individual teeth and how his smile looked, but also the overall strength and stability of the bite

Every long journey begins with an initial step, which in this case was a consultation between Paul and Dr. Geller. As you can imagine, Paul was a bit nervous, but the experience quickly helped him relax and feel more confident.

“The treatment plan was explained, and visual aids were used to demonstrate the care to be provided. All questions were answered… Dr. Geller has always been the consummate professional, providing excellent care. He explains options and then takes the time to do the work properly. It was a nice conversation without heavy sales pitches or pressure.”

After giving him an accurate picture of his oral health, Dr. Geller and Paul agreed on a plan. It would be a multistage process, consisting of extracting teeth that were beyond saving, placing crowns to restore others, and using aligners to create a balanced bite.

Working in tandem, these procedures would give Paul his health and function back while creating a confident, attractive smile at the same time.

While understandably anxious at the beginning, Paul is now hopeful and looking forward to the future.

“While my treatment is ongoing, the work that has been done thus far is amazing! The crowns resemble natural teeth, and my smile looks great!”

Before and After